◎このようなお悩み・症状の方へ、オールセラミッククラウンをおススメしています。

▲前歯の欠け・割れ
▲前歯の先がギザギザ
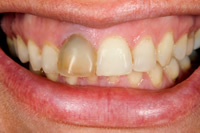
▲前歯の変色
- 前歯が少し欠けた・割れた
- 前歯が変色している・黄ばんでいる
- ホワイトニングでは白くならない
- 歯の形を整えたい
- 前歯が傾いている・ねじれている
- 前歯の表面がでこぼこしている・線が入っている
- 歯の先がギザギザしていて気になる
- ラミネートベニアがはがれやすい
- 現在の差し歯が黒ずんでいる
- 保険のクラウンが変色している

▲前歯・奥歯を全体的に治したいとの要望
ジルコニアオールセラミックスクラウンでやり直ししました。
費用:15万円(税別)×10本

▲前歯2本が過去の虫歯治療で神経を抜かれ変色。
ジルコニアオールセラミックスクラウンで修復しました。
費用:15万円(税別)×4本
その他、審美歯科治療におけるオールセラミッククラウンの症例については以下をご覧ください。
すべて当院のケースです⇒ ジルコニアオールセラミックスクラウンの症例集
オールセラミッククラウンには2種類の素材を使用しています
ジルコニアクラウン

今までのクラウンは金属のキャップ(もしくは強度のないセラミック)に陶材(セラミック)を焼き付けた物が主流でした。しかし人工ダイヤモンドであるジルコニアが登場し、ジルコニアの白いキャップに陶材(セラミック)を焼き付けることが可能になりました。強度や審美性が向上し、美しいオールセラミッククラウンを製作できます。
費用:150,000円(税別)

◎透過性が高く、自然の歯に近い色調
メタルボンドクラウンと比べると、光の透け具合の違いがお分かりいただけます。これは実際のお口でも自然光や蛍光灯化でも審美性の違いが出てきます。光を適度に透過させることで歯ぐきも明るくし、自然な白い歯を表現します。この透明感が天然歯の美しさです。自然な前歯の美しさは光の透過性と関係しています。
神経の処置をした場合のファイバーコア(白い土台)

神経の処置をした場合(神経を抜いた場合)、クラウンをかぶせるための土台が必要になります。
当院では強度が高く周りの歯を傷めにくいファイバーコアをおすすめしております。金属のコアに比べ、歯の根を傷めにくいですし、オールセラミッククラウンの色をキレイに出すことができます。
現在、すでに金属のコア(メタルコア)が入っているという方も、オールセラミッククラウンを入れる場合は、極力ファイバーコアへのやり変えを行っております(根の審査・診断をきちんと行ってから判断いたします)。
費用:ファイバーコア 20,000~30,000円(税別)
オールセラミック(左)とメタルボンド(右)の比較
メタルボンドセラミックは、金属のキャップ(金属の裏打ち)にセラミックを焼き付けたものです。一方、オールセラミックの場合、素材がセラミックのみです。

実際に装着すると…、
メタルセラミックの場合、金属の裏打ちのため歯肉と歯の境目が時間の経過とともに、黒ずみが目立ってきますが、オールセラミックの場合、金属を使いませんので黒ずむことがありません。
歯茎との境目が黒くなりにくいメタルボンドクラウン
ポーセレンマージン(カラーレス)によるメタルボンド

▲メタルボンドクラウン
一般的なメタルボンドクラウンは、経年変化により歯ぐきとの境目が黒くなってくる場合がありますが、そのデメリットを抑える方法として、ポーセレンマージンという製作方法があります。
セラミックの立ち上がりの位置を金属からセラミックにしてやることで、歯ぐきが黒く見えづらくなります。この方法はただ単に歯科技工士が製作すればいいというわけではなく、歯科医師による歯の土台形成も技術を要します。
費用:100,000円(税別)
よくある質問
- オールセラミッククラウンの治療中は、痛みはあるでしょうか?
- 形成時(歯の形を整える時)には麻酔を使うので心配ありません。オールセラミッククラウンに見られる審美歯科治療は、基本的に神経が残っている歯に対しては麻酔を使用します。無痛治療で行っている麻酔方法と同じ麻酔を使いますので、治療中に痛みは伴いません。削るときに振動は伝わってきますので、違和感の感じる方はその都度お申し付けください。
- どのような歯科医院で審美歯科治療を受けたらよいですか?
- 補綴(かぶせもの)治療の経験があり技術のある歯科技工士のいるクリニックで 審美歯科治療はどの歯科医院でも出来るわけではなく、その品質も千差万別です。一般的には補綴(ほてつ)を専門としている医院でセラミストと呼ばれるセラミック治療に特化した歯科技工士の在籍している歯科医院がよいでしょう。当院では、ドクターが大学在籍時にクラウン・ブリッジ・咬み合わせを専門とした科に在籍し、専門的に学んでおります。また今日まで受賞歴のある歯科技工士と提携し、審美歯科の症例実績数も豊富です。
- オールセラミックとメタルボンド、どちらか迷っています
- オールセラミッククラウンをおすすめしています(ケースによる) 現在では世界的に金属を使わないオールセラミッククラウンが潮流となっています。出来ればオールセラミッククラウンをおすすめしています(症例によりメタルボンドになることもあります)。
- 保険治療は適応になりますか(保険でできますか)?
- 残念ながら保険適用外ですが、品質は保険と比べものになりません オールセラミッククラウンは保険が適用になりませんが、使っている材料は100%のセラミックであり、金属やプラスチックを使った保険のクラウンとは比べものにならないほど、品質がよいものになります。加えて当院では審美的に技術力の高い歯科技工士と提携しているため、本物の歯と比べても遜色のない自然なセラミック歯をご提供することが可能です。
術前シミュレーション(ワックスアップ)

ご希望により、ご自身の現在の歯型を取り、それをもとに治療後の状態を白いワックスで事前に確認することができます。石膏の模型にキレイなワックス(蝋)で、予定されるオールセラミッククラウンの形に仕上げます。
このワックスアップシミュレーションの模型を見てから、治療を開始するかどうかを判断していただきます。このワックスの模型はご自宅に持ち帰られて、後日判断されてもかまいません。
セラミッククラウンの治療の流れ
step1.初診
症状を確認し、レントゲンでの診断を行います。また現在のお悩み・ご希望を詳しく伺い、次回シミュレーションのための歯型を取ります。
step2.ワックスアップシミュレーション
前回の歯型をもとに、石膏の歯型に前歯の術前イメージを白いワックス(蝋)で製作し、術後のセラミッククラウンのイメージをご確認いただきます。
この術後イメージをお持ち帰りいただき、後日治療をするかどうかをお決めいただきます。もちろん仕上がりにご満足いただけない場合は治療をしなくてもかまいません。
step3.形成・仮歯の装着
セラミッククラウンをセットするための、前歯の形成を丁寧に行っていきます。キレイに装着するためには歯科医師の丁寧な形成がかかせません。形成時(歯の形を整える時)には無痛麻酔を使うので痛みの心配はありません。
形成後に歯型を取り、次回の本番の最終歯が入るまで、日常生活に支障のないように、仮歯をセットしてお帰りいただきます。
step4.印象採得(歯のかたどり)
歯の型取りを行います
step5.セラミッククラウンの装着・完成
歯科技工士から届いたセラミッククラウンを装着いたします。
完成後も定期的なメンテナンスをおすすめしております。
*step3と4は同日の場合も可能です。
*ご希望により治療期間・回数は短くすることもできます。初診時にお問い合わせください。
周りの歯に色を合わせたい
当院では、シェードアイという色彩測定器やシェードガイド(色見本)を用いて他の歯の色と合わせます。これによって、より自然の歯に近い白さを再現することが出来ます。

▲シェードガイド
▲シェードアイ
▲アイスペシャル
また術前のお写真を審美歯科用の一眼レフカメラ(アイスペシャル)で撮影し、歯科技工士に送ります。このカメラは色調を歯科技工士に調整してもらっていますので、歯科技工所のパソコンでも見た目と同じ歯の色が再現できます。これにより歯科技工士が周りの歯と同じ色に合わせたセラミック歯を製作しやすくなります。
現在のご自身の歯の色を明るくしたいという方は、ホワイトニング後にセラミッククラウンをすることも可能です。
セラミック治療の治療内容・リスク副作用など
ここでは、医療広告ガイドラインに基づき、歯科治療におけるセラミックインレーやオールセラミッククラウン等の詰め物・被せ物のセラミック治療についての治療内容・リスク・副作用について記述いたします。
治療内容・このようなケースに
虫歯治療後もしくは見た目の問題で歯を白くしたい場合など、歯の一部または大部分を失った場所に対してセラミック素材の詰め物・被せ物を接着して見た目・咬み合わせの回復をはかる治療方法。
- 虫歯治療後の詰め物・被せ物を白く希望される場合
- 現在の金属の詰め物・被せ物が取れたり欠けたりして、再治療に白い物を希望される場合
- 現在の金属の詰め物・被せ物に問題はないが、見た目を自然に白くしたい場合
- 金属アレルギーのある方、または心配な方に
- 現在の詰め物・被せ物・ブリッジに違和感・不調のある方などに
- 歯茎との境目が黒ずんで気になる方に(メタルタトゥー)
健康保険と自費の適用について
セラミック治療は、自費診療となり健康保険対象外です。
未承認医薬品、医療機器等の使用の有無
当院では、セラミック治療において国内で承認されていない未承認医薬品、医療機器等を使用しておりません。
リスク・副作用
- 金属単体のインレー・クラウンより若干、歯の体積を削る量が多いことがあります
- 個人差により、ごく稀に欠けたり壊れる可能性があります
- 事前に神経の処置(根管治療)や土台(コア)の処置が必要となることがあります
- 咬み合わせ・歯ぎしりの強い方は、破損防止のためにマウスピースをおすすめすることがあります

